Здравствуйте.
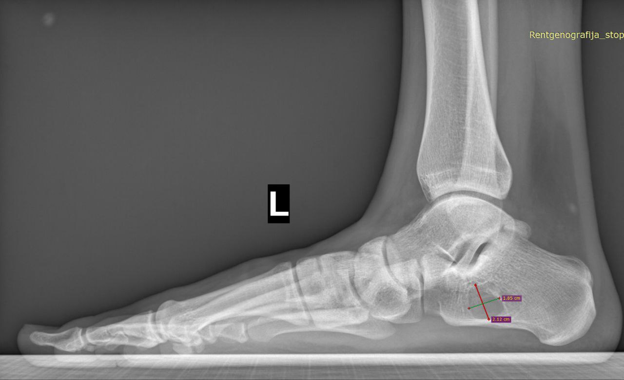
С костной кистой такого размера если сопровождается риском патологического перелома, могу претендовать на 10б-В?
Перейти: Список форумов / Форум призывников / Медицинский форум
DZDZ писал(а):Здравствуйте.
С костной кистой такого размера если сопровождается риском патологического перелома, могу претендовать на 10б-В?

DZDZ писал(а):Платный прием у взрослого травматолога-ортопеда, рентген из детской поликлиники (июль 2025), сейчас мне 18 лет.
Прием по ОМС в краевой больнице, отправили делать МРТ с результатом МРТ явиться на повторный прием.

DZDZ писал(а):Я мама, фото смогу завтра выложить т.к сына смогу завтра увидеть. Визуально эту кисту на мой взгляд не видно никак.
Я поняла, что это он не степень плоскостопия снизил, а написал так, что это двухстороннее плоскостопие. Почему продольное, а не комбинированное не могу сказать, не обратила на это внимание.
По визуальному осмотру врач по ОМС сказал, что степень плоскостопия 2-я, диагностичское ииследование во внимание не принял, сказал надо делать новое во взрослой сети.
У сына в приписном категория Г, получил повестку на МО на 19.11.

Сейчас этот форум просматривают: нет зарегистрированных пользователей и гости: 2